Αποκατάσταση κατάγματος κνήμης – περόνης ασθενούς μας
Αποκατάσταση κατάγματος κνήμης – περόνης ασθενούς μας
Ένας άνδρας 40 ετών, υπέστη κάταγμα κνήμης – περόνης κατά την συμμετοχή του σε αγώνα ποδοσφαίρου και διακομίσθηκε στο νοσοκομείο, όπου υποβλήθηκε σε κλειστή ανάταξη και τοποθέτηση ενδομυελικής ήλωσης στην κνήμη.
*Τι είναι η ενδομυελική ήλωση;
Η ενδομυελική ήλωση είναι μία τεχνική σταθεροποίησης κατά την οποία τοποθετείται μία ράβδος μέσα στο οστό, το οποίο έχει υποστεί κάταγμα. Συχνά προτιμάται από πολλούς χειρουργούς έναντι άλλων μορφών οστεοσύνθεσης λόγω της χαμηλής επεμβατικότητας και της άμεσης κινητοποίησης της πάσχουσας περιοχής.

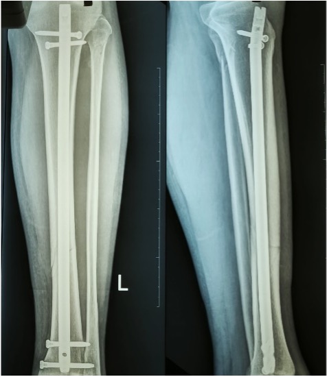
| Ακτινογραφική απεικόνιση έναν μήνα μετά τον τραυματισμό. |
Ο ασθενής μάς επισκέφθηκε έναν μήνα μετά την επέμβαση με οδηγίες για μερική φόρτιση, βάδιση με δύο βακτηρίες μασχάλης («πατερίτσες»), μειωμένο εύρος κίνησης στην ποδοκνημική άρθρωση και στην άρθρωση του γόνατος, και απώλεια μυϊκής δύναμης σε όλο το κάτω άκρο.
Η αποκατάστασή του στην πρώτη φάση είχε ως στόχο την αναλγησία, την διαχείριση του οιδήματος, και την αύξηση του εύρους κίνησης των αρθρώσεων, σεβόμενοι πάντα τις κατευθυντήριες οδηγίες των ιατρών. Δόθηκε πολλή προσοχή στην σταδιακή φόρτιση του πάσχοντος μέλους και στην επίτευξη της αυτόνομης βάδισης.
*Τι είναι η αυτόνομη βάδιση;
Η αυτόνομη βάδιση είναι η βάδιση χωρίς βοήθημα. Επιτυγχάνεται μέσω της επανεκπαίδευσης βάδισης και έχει πολλαπλά οφέλη για τον ασθενή και την έκβαση της θεραπείας. Καθιστά δυνατή την αυτοεξυπηρέτηση και την αύξηση της σωματικής δραστηριότητας, και κατά συνέπεια βοηθά στην βελτίωση της ψυχολογικής κατάστασης του ασθενούς. Μας δίνει την δυνατότητα να εισάγουμε προοδευτικά πιο απαιτητικές ασκήσεις, οι οποίες είναι απαραίτητες για την αποκατάσταση και την επιστροφή στην καθημερινότητα.
Έχοντας επιτύχει την πλήρη φόρτιση του μέλους, στοχεύσαμε στην αύξηση της μυϊκής δύναμης. Η ενδυνάμωση στα αρχικά στάδια περιλαμβάνει την ελεγχόμενη εκτέλεση μεμονωμένων κινήσεων σε όλες τις αρθρώσεις (π.χ. κάμψη γόνατος, έκταση ισχίου) αλλά μεγάλη έμφαση δίνεται στην ταυτόχρονη ενεργοποίηση πολλών μυϊκών ομάδων. Η αποκατάσταση πάντοτε περιλαμβάνει συνδυαστικές κινήσεις πολλών αρθρώσεων, κινήσεις δηλαδή που μας καθιστούν λειτουργικούς και προσομοιάζουν τις απαιτήσεις της καθημερινότητας μας (π.χ. ανέβασμα και κατέβασμα σκάλας, είσοδος – έξοδος από το αμάξι, ποδήλατο).

| Ακτινογραφική απεικόνιση τρεις εβδομάδες μετά την έναρξη των θεραπειών. |
Η τελευταία φάση της αποκατάστασης οποιουδήποτε τραυματισμού του κάτω άκρου περιλαμβάνει πάντοτε την αποκατάσταση της ισορροπίας και της ιδιοδεκτικότητας, καθώς αυτές είναι απαραίτητες για την λειτουργικότητα και την αποφυγή μελλοντικών τραυματισμών.
*Τι είναι η ιδιοδεκτικότητα και πώς συμβάλλει στην ισορροπία;
Η ιδιοδεκτικότητα είναι η δυνατότητα του εγκεφάλου να γνωρίζει ανά πάσα στιγμή τη θέση των μελών του σώματός μας. Είναι άρρηκτα συνδεδεμένη με την ισορροπία, καθώς επιτρέπει στον εγκέφαλο να προσαρμόζει την θέση μας και την κίνησή μας σύμφωνα με τις ιδιαιτερότητες του περιβάλλοντος (π.χ. βάδιση σε ανώμαλο έδαφος, βρεγμένη επιφάνεια, εμπόδια).
Τελειώνοντας τις θεραπείες, ο ασθενής μας έφυγε από το φυσικοθεραπευτήριό μας όντας πλήρως λειτουργικός, έχοντας επιστρέψει στην εργασία του, και με οδηγίες για την συνέχιση της αποκατάστασής του. Βρισκόμαστε πάντα δίπλα σε όλους τους ασθενείς μας κατά τη διάρκεια και μετά το πέρας των θεραπειών για διευκρινίσεις, ερωτήσεις, στήριξη, και καθοδήγηση προς μια καθημερινότητα χωρίς πόνο.
Ραφαέλα Αγαγιώτη
Φυσικοθεραπεύτρια

